HOLLYWOOD SMILES
Patient aged 39 with yellow ,irregular ,spacing & uneven teeth with edge to edge bite & right cuspid in cross bite.

BEFORE

AFTER
Done hollywood smile designing

Before

After
*****************************************
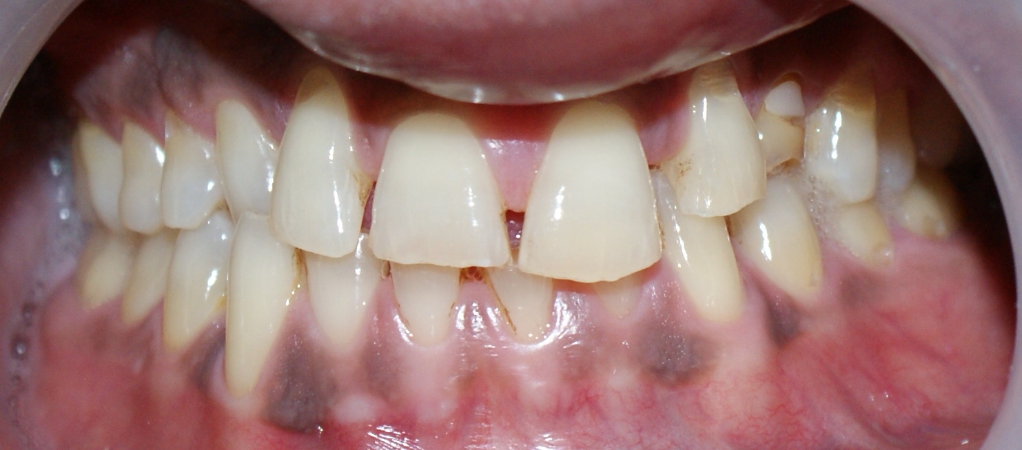
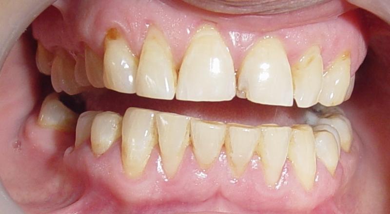
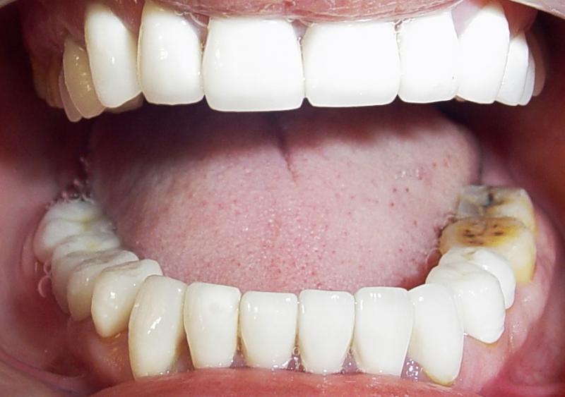
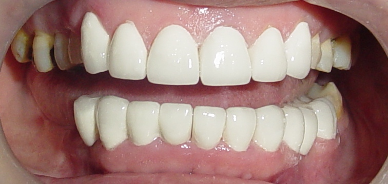
patient aged 52 with yellow , broken, uneven & missing teeth asked for permanent solution.

Before
ore
After
Patient aged 31 years walked in and asked for filling gaps in teeth ,replacing missing tooth & permanent teeth whitening.

BEFORE

AFTER

BEFORE

AFTER

BEFORE

AFTER

BEFORE SMILE

AFTER SMILE
********************************************************** PATIENT AGED 28 YEARS WITH IRREGULAR TEETH DONE HOLLYWOOD SMILE DESIGNING AND PERMANENT WHITENING


*********************************************************************************
PATIENT AGED 52 YEARS CHIEF COMPLAINT IRREGULAR ,YELLOW TEETH
DONE HOLLYWOOD SMILE DESIGNING AND PERMANENT TEETH WHITENING
Total 25 crowns done 12 + 13

BEFORE
AFTER

BEFORE SMILE

AFTER SMILE

BEFORE

AFTER

These pictures are of Dr Cheema's actual patients. Any
copying is strictly prohibited for whatsoever reasons.